Pongo a tu servicio mis conocimientos sobre las áreas en que me he formado, para que juntos, podamos dar la mejor atención y manejo a tus pacientes.

Medicina interna de referencia
¿Diagnóstico difícil? ¿Deseas una segunda opinión?
Endocrinopatías, enfermedad gastrointestinal crónica, enfermedad neoplásica… Cualquier reto diagnóstico es bienvenido, si nos conduce al aprendizaje y a poder hacer todo por el paciente.

Cirugía de tejidos blandos
¿Cirugía de alta complejidad?
Cirugía toráxica, caradiovascular, esplácnica abdominal, oncológica, glandular, manejo de heridas, herniorrafias y cirugía reconstructiva. Realizado bajo anestesia inhalada, con el monitoreo y manejo anestésico más completo.

Valoración pre-anestésica
¿Paciente de alto riesgo anestésico?
Valoración pre anestésica completa, incluyendo un enfoque cardiovascular (presión arterial, electrocardiografía, ecocardiografía, volemia), perfil de coagulación, hemograma, bioquímicas, urianálisis, examen físíco, interpretación e integración de todas las pruebas. Anestesia a tu paciente con el menor de los riesgos.

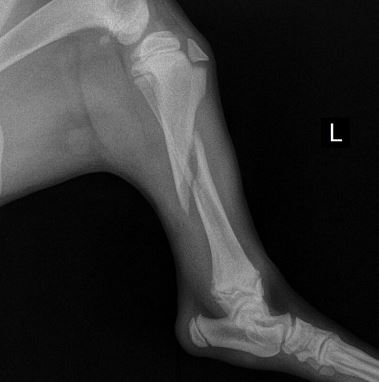
Cirugía traumatológica y ortopédica
Te apoyamos en el diagnóstico y tratamiento, médico y quirúrgico de tu paciente traumatológico/ortopédico
Cirugía ortopédica de rodilla, cadera, hombro y codo. Traumatología ósea apéndicular, columna vertebral, pelvis y cabeza. Osteosíntesis de fracturas con placas óseas, tornillos y fijación esquelética externa.

Neurología clínica
¿Paciente con convulsiones, parálisis o síndrome vestibular?
Diagnóstico neuroanatómico, categorización de enfermedades, razonamiento clínico en el abordaje, diagnóstico y tratamiento de enfermedades del sistema nervioso en perros y gatos.
